疾病咨询热线:13437147156
武汉环亚白癜风医院 > 白癜风症状 >

初期白癜风有什么表现

「 温馨提示:手机页面有限,文章显示不够全面,建议您直接与在线医生沟通。」

  初期白癜风有什么表现?对于白癜风这种的疾病来说,白癜风就是一种顽固的皮肤性疾病,严重的影响人的外貌形象,给人的正常人际交往和就业成家带来了很大的影响。白癜风的初期表现一般不是很明显,很难引起一些患者的注意,对于白癜风的治疗,积极的发现白癜风是很重要的,那初期白癜风有什么表现?下面武汉白癜风医院专家为大家讲解一下。

  白癜风的患者发病前,大部分是有不同程度以下情况,睡眠不好,多汗,工作生活或是学习压力大。长时间是在潮湿的环境中,长时间是在太阳下暴晒,出汗后受冷风吹,饮食搭配的不合理,受过外伤,过食腥辣刺激性的食物等等。目前,各种污染也是致使白癜风的患病的主要原因。

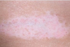
  早期的白斑边界模糊,而又是无色素增生。早期白斑面积小,多为指甲或者是钱币大小。早期白斑的边缘,有一条稍隆起的炎症性,暗红色线条,可持续数周的时间,如果不细心查看,较难发现。白斑处除色素脱失以外,患处没有萎缩或是脱屑变化,白斑上毛发,可能会失去色素以至完全变白。

 

 白癜风外在症状表现是为,皮肤损害处皮肤颜色的减退,有灰白色,乳白色或是瓷白色等,经常是无自觉不适,少数的病例在发病之前、同时局部是有瘙痒感,亦有患者在病情稳定时,因某种的原因发生痒感,随之白斑扩大或是显露新的白斑,个别的患者伴有毛发变白。本病好发于面、颈、背、躯干及外生殖器等等部位。全身皮肤的任何部位均是可发生。尤其就是头、面、颈、臀部、手背等部位最为常见。好发于易受阳光照晒、摩擦损伤等部位。因此,我们要注意白癜风的早期症状,如身体的皮肤显露白斑,要及时的到医院进行诊断。推荐阅读:小孩白癜风在临床上都有哪些类型呢

  初期白癜风有什么表现?温馨提示:在白癜风早期,白斑的数目极少。白癜风的早期症状都极不明显,需要留心查看才可以发现。且这些白癜风的早期症状,也是其他皮肤病病症的表现。

67%电话咨询
与专家直接对话
33%咨询专家
深度了解白癜风

|  推荐阅读更多+

治疗治疗白癜风要花多少钱?已阅读869

病因小孩出现白斑怎么回事?已阅读945

治疗白癜风能治好吗?已阅读963

常识白癜风传染吗?已阅读874

治疗武汉治白癜风选哪家医院?已阅读861

我们能为您提供的帮助

网络预约优先诊权当天就诊
  • 姓      名:
  • 电      话:
  • 病情描述:

网站首页

在线咨询

免费拨打

来院路线
鄂公网安备 42010402000616号
鄂ICP备16003424号